Expertises - Esthétique

LE BLANCHIMENT DENTAIRE PROFESSIONNEL

BLANCHIMENT DENTATIRE PROFESSIONNEL
Expertises

Blanchiment dentatire professionnel

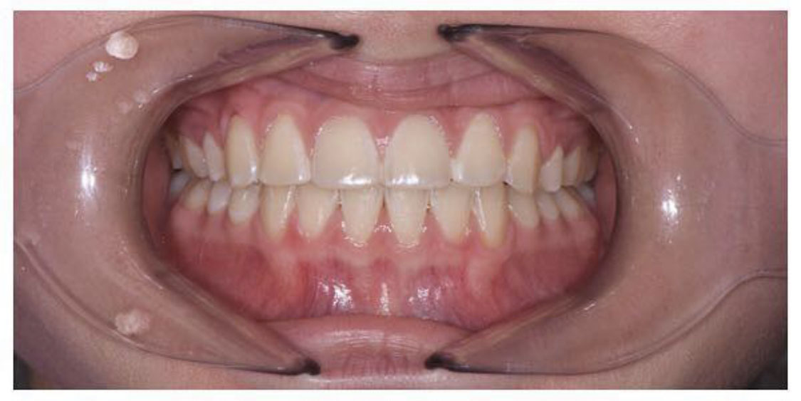
Pour vous démarquer, souriez!

Le blanchiment des dents est déjà depuis quelques années, une procédure utilisée en esthétique dentaire de plus en plus populaire. Simple et abordable, le blanchiment dentaire professionnel vous permettra d’obtenir un sourire visiblement plus clair en peu de temps.

Les dents n’échappent pas au vieillissement. Avec les années, elles perdent de leur éclat naturel et tendent à jaunir. L’utilisation de certains produits tel que le tabac ou bien la consommation d’aliments très pigmentés, comme le thé, le café, le vin,… peuvent également contribuer au ternissement des dents. Un examen dentaire ainsi qu’un détartrage est requis avant de procéder au blanchiment. Votre dentiste évaluera votre condition bucco-dentaire afin de vous conseiller sur la méthode de blanchiment appropriée. Veuillez noter que les produits de blanchiment dentaire ne change pas la couleur des restaurations en composite, en céramique ou en porcelaine. Vous pouvez demander conseil à votre dentiste à ce sujet.

À Anjou Centre Dentaire,
nous utilisons 2 techniques de blanchiment :

Voici un aperçu des traitements de dentisterie esthétique utilisés à notre clinique :

Le blanchiment dentaire professionnel à la chaise ZOOM !

Ce traitement s’effectue en clinique en une seule visite par nos professionnels dentaire. Avant le début du traitement, vos gencives et tissus adjacents seront isolés et protégés afin que le processus soit sécuritaire. Le produit de blanchiment composé de peroxyde d’hydrogène sera par la suite, directement appliqué sur vos dents et finalement, activé par une lumière. Les résultats sont remarquables dès les premières minutes. Le temps d’exposition varie entre 30 et 90 minutes selon le besoin. À la fin du traitement, nous vous remettons vos gouttières qui ont été préalablement fabriquées sur mesure à partir de l’empreinte de vos dents. Des seringues contenant un gel de blanchiment sont également incluses pour finaliser le traitement à la maison.

Le blanchiment à domicile supervisé par nos professionnels dentaires

Comme pour le blanchiment à la chaise, des gouttières fabriquées sur mesure à partir de votre empreinte dentaire ainsi que des seringues contenant le gel de blanchiment vous seront remises afin de procéder au blanchiment complet à la maison. Vous n’aurez qu’à couler le produit dans les gouttières pour ensuite les insérer dans la bouche. Le traitement sera complété en 2 ou 3 semaines à raison de 2 fois par jour pendant 30 minutes.

À NOTER

Qu’il soit fait à domicile ou bien à la clinique, il se peut que vos dents deviennent plus sensibles aux variations de température pendant la durée du blanchiment, mais sachez que cette sensibilité est habituellement temporaire. Si toutefois la sensibilité persiste, espacez les applications. Une seringue contenant un gel désensibilisant vous sera également remise. Vous n’aurez qu’à l’appliquer avec l’aide de vos gouttières.
Afin de vérifier la teinte finale, un rendez-vous de contrôle vous sera donné dans les 2 semaines suivant le début du traitement de blanchiment.

Prenez rendez-vous dès maintenant

Nous sommes disponible tous les jours du lundi au samedi.

Rendez-vous
TOP